Статьи по тегу #хирургия

Ксения Ужегова, врач и исследователь в области клинической онкологии / © Ксения Ужегова
Как научные работы изменили подход хирурга к лечению рака, и почему сегодня он должен быть еще и исследователем   Интервью

Современная хирургическая онкология переживает период пересмотра привычных представлений о роли операции в лечении рака. Рост технологических возможностей совпал с накоплением клинических данных, которые всё чаще показывают: объем и радикальность вмешательства …

  Александр Березин

  01.04.2026

Кадр из сериала «Доктор Хаус» / © Fox
У пожилых людей с лишним весом оказались наивысшие шансы выжить после операций   Медицина

Новое исследование показало, что после серьезных плановых операций пожилые люди с избыточным весом или небольшим уровнем ожирения умирали намного реже, чем их сверстники с нормальным индексом массы тела.

Группа хирургов …

  Юлия Трепалина

  27.08.2025

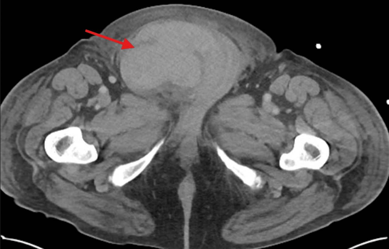
Образование гематомы в дистальном отделе правого пахового канала (красная стрелка) / © Steven J. Laxton, Jackie Dovgalyuk, Cureus
Медики впервые описали, как кашель и больное сердце привели к разрыву яичка   Медицина

Спонтанный разрыв семенника — очень редкое явление в медицинской практике, как правило происходящее в результате травмы, злокачественной опухоли либо инфекции. Однако недавно американские медики задокументировали уникальный клинический случай, когда разрыв …

  Юлия Трепалина

  07.04.2025

Бариатрическая операция / © Alamy
Хирургическое лечение ожирения помогло здоровью даже при частичном возврате веса   Медицина

Медики на крупной выборке людей проследили за долгосрочными последствиями для здоровья бариатрии — хирургического способа лечения больных с избыточным весом. Оказалось, что позитивный эффект от похудения после таких операций в …

  Юлия Трепалина

  24.03.2025

© NCI, National Cancer Institute
Масштабный анализ подтвердил дурную репутацию пятниц в хирургии   Медицина

Медицинская статистика показывает, что когда операцию проводят в выходные или днем ранее, то есть в пятницу, вероятность негативного исхода после нее бывает выше, чем когда процедуру выполняют в будние. В …

  Юлия Трепалина

  05.03.2025

Кадр из американского телесериала «Доктор Хаус» / © Fox
Обнаружена нелогичная связь между стрессом у хирургов и осложнениями после операций   Медицина

Новое международное исследование показало, что если в начале хирургического вмешательства врач немного нервничает, это может быть к лучшему для пациента.

Профессиональной деятельности хирургов посвящено немало научных работ. В одной из …

  Юлия Трепалина

  17.01.2025

Популярные категории

Популярные статьи