Статьи по тегу #неврология

Кадр из фильма «Все еще Элис» о женщине, страдающей болезнью Альцгеймера / © Кинопоиск
Препараты для снижения веса уменьшили вероятность болезни Альцгеймера   Медицина

Болезнь Альцгеймера — самая распространенная причина деменции, причем полноценного лечения от нее не существует. Это частая история с заболеваниями, причины которых неизвестны. Тем интереснее исследование ирландских ученых, обнаруживших, что популярные …

  Денис Яковлев

  11.04.2025

Сигналы поступают в головной мозг благодаря структурам, сходным с заставляющими мышцы сокращаться / © Lorena Benedetti et al., Cell
Мозг повел себя как мышца, чтобы улучшить обучение и память   Медицина

Сигналы поступают в мозг благодаря таким же субклеточным структурам, как те, что отвечают за сокращение мышц. Неожиданную параллель обнаружили ученые из США.

Многие современные исследования посвящены изучению когнитивных процессов на …

  Полина Меньшова

  10.02.2025

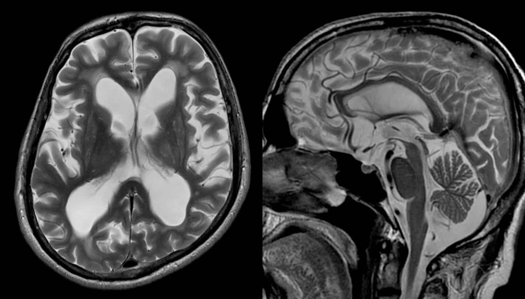
Увеличенные желудочки головного мозга пациента с гидроцефалией на МРТ / © neuroradiologycases.com, Balaji Anvekar
Спинномозговую жидкость впервые обнаружили за пределами мозга   Медицина

Как следует из названия, спинномозговая жидкость циркулирует в головном и спинном мозге. Похоже, теперь в учебники по физиологии придется внести поправки: согласно новому исследованию, спинномозговая жидкость (ликвор) в норме также …

  Михаил Орлов

  07.09.2024

Изменения в мозге при мигрени / © RSNA and Wilson Xu
Неврологи обнаружили необычную причину мигрени   Медицина

Страдающие мигренью иногда могут предсказывать приступы по незначительным симптомам, называемым аурой. Причины этого не до конца изучены, но новая работа датских ученых дает ответ на вопрос.

Мигренью страдает каждый десятый …

  Татьяна Пичугина

  04.07.2024