Статьи по тегу #диабет второго типа

Кадр из сериала «Бессонница» / © Sony Pictures Television, Paramount+
Медики вычислили, сколько нужно спать, чтобы снизить риск диабета второго типа   Медицина

Результаты нового исследования подтвердили, что между сном и обменом веществ существует сложная двусторонняя взаимосвязь. Расчеты показали, что оптимальная продолжительность ночного сна, при которой риск развития инсулинорезистентности — предшественника диабета второго …

  Татьяна Зайцева

  05.03.2026

Кадр из фильма «Дитя человеческое» / © UIP Duna
Различные виды депрессии связали с диабетом и болезнями сердца   Медицина

Исследование показало, что в зависимости от типа депрессии у человека может возрастать либо риск диабета второго типа, либо сердечно-сосудистых заболеваний, таких как инфаркт или инсульт. Доклад о новой работе авторы …

  Юлия Трепалина

  14.10.2025

У пациентов, страдающих ожирением и диабетом второго типа, метформин снизил риск развития деменции на 8-12 процентов, а риск смерти — на 26-28 процентов. Кадр из фильма «Я худею» / © Kinopoisk.ru
Препарат для лечения диабета снизил риск деменции и смерти пациентов с ожирением   Медицина

Новое исследование ученых показало: метформин, который используют для лечения диабета второго типа, значительно снижает риск развития деменции и преждевременной смерти.

Ученые из Тайбэйского медицинского университета (Тайвань, КНР) использовали данные электронных …

  Денис Яковлев

  07.08.2025

© Atthapon Raksthaput, Shutterstock
Диабет повлиял на работу мозга, подобно ранним стадиям болезни Альцгеймера   Медицина

Из прошлых исследований известно, что пациенты с диабетом второго типа более склонны к психиатрическим и нейродегенеративным расстройствам, но природа этой связи изучена недостаточно. Американские ученые недавно выяснили, что диабет способен …

  Юлия Трепалина

  28.03.2025

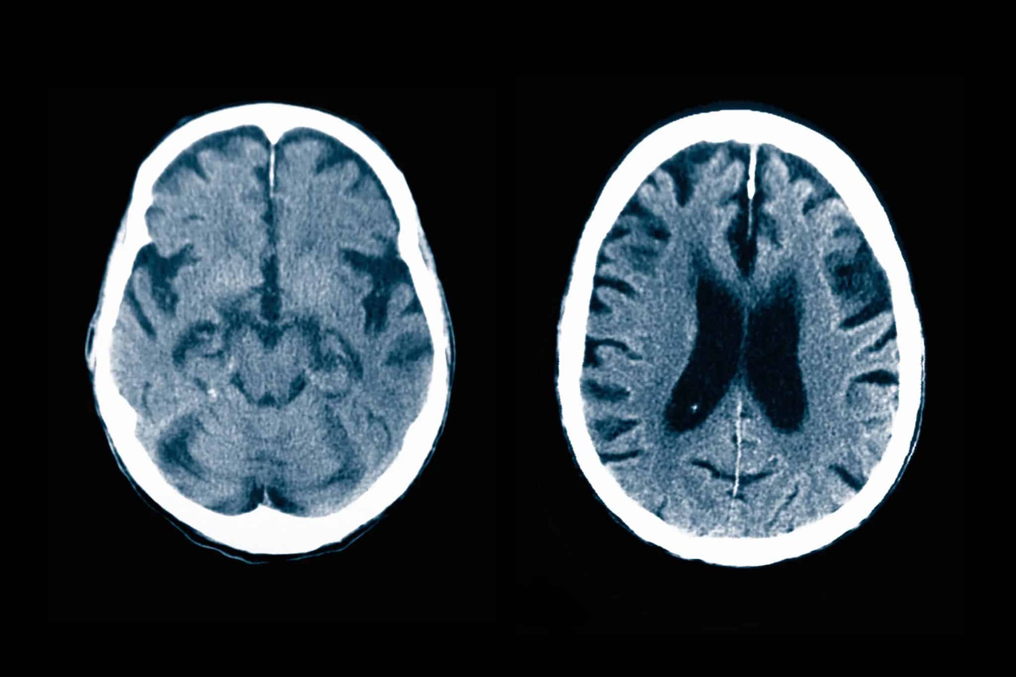
МРТ-снимки головного мозга с признаками атрофии  / © Callista images/Getty images
Диабет второго типа и амилоидные белки ускорили атрофию мозга   Медицина

Международная команда ученых из Университета Джонса Хопкинса (США) провела уникальное исследование, наблюдая за 185 людьми на протяжении 20 лет. В результате команда определила ряд факторов, ускоряющих отмирание клеток головного мозга. …

  Любовь Соковикова

  18.11.2024

Во время Второй мировой войны в Британии действовала карточная система. Происходило нормированное распределение продуктов питания, например людям выдавали 40 граммов сахара в день / © Getty Images, Fox Photos, Hulton Archive
Карточная система во время и после Второй мировой войны улучшила здоровье британцев   Медицина

Люди, зачатые в Великобритании в 40-50-е годы прошлого века, после введения карточной системы, ограничивающей количество потребления сахара, имеют более низкий риск развития диабета второго типа и гипертонии, чем те, кого …

  Игорь Байдов

  01.11.2024

Популярные категории

Популярные статьи

Кадр из сериала «Теория большого взрыва» / © wbd.com
46